欢迎访问乐竞(中国)lejing·官方网页版!

番红o染色

医学实验主要包括分子生物学、细胞生物学、病理学、免疫学的实验;SCI论文主要包括论文翻译、母语润色改写;专利主要包括发明专利、实用新型专利、外观设计专利的申请;专著主要包括单篇学术论文、系列学术论文和学术专著的出版。

番红o染色 当前位置:首页 > 公司产品 > 医学实验 > 病理学 > 番茄o染色

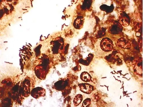
番红o染色:番红(也称作番红O或基本红2)是个用在组织学和细胞学的生物染色剂。番红在一些染色的实验计划表中用作复染剂,将所有的细胞核染成红色。这在革兰氏染色和内孢子染色都是典型的复染剂。它也可以被用

 番红o染色

       番红o染色:番红(也称作番红O或基本红2)是个用在组织学和细胞学的生物染色剂。番红在一些染色的实验计划表中用作复染剂,将所有的细胞核染成红色。这在革兰氏染色和内孢子染色都是典型的复染剂。它也可以被用来检测软骨、黏蛋白和肥大细胞的颗粒。
上一篇:返回列表
下一篇:返回列表
热门推荐
>
<